Question Bank
Case Studies
Previous Year Papers
Mock Tests
Virtual Surgery
Login
Sign Up
Login
Sign Up
All Difficulties
Easy
Medium
Hard
All Subjects
Anatomy
Physiology
Biochemistry
Pathology
Microbiology
Pharmacology
Forensic Medicine
Community Medicine
Ophthalmology
ENT
Medicine
Surgery
Obstetrics
Pediatrics
Orthopedics
Reset Filters
←
Back to Categories
What causes extracellular potassium and phosphorus levels to decrease during refeeding syndrome?
a) Rise in insulin levels
b) Decrease in glucose levels
c) Dehydration
d) Loss of albumin
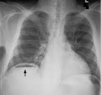
Image of Gas under diaphragm, best treatment?
a) IV fluids
b) Exploratory laparotomy
c) Laparoscopy
d) Paracentesis
What is the most likely hernia the patient is having?
a) Primary direct hernia
b) Recurrent direct hernia
c) Primary indirect hernia
d) Recurrent indirect hernia
What should be the treatment in this patient with a midline incision hernia and a defect size of 12cm?
a) Separate the hernia and suture repair of primary site
b) Push the hernia back and do mesh repair
c) Abdominal binder
d) Tissue repair
What is the surest sign of wound dehiscence in a postoperative patient?
a) Severe abdominal pain
b) Serosanguinous discharge from the wound
c) Hypotension
d) Bleeding from the wound site
Page 1 of 8