Medgloss Logo

Made with ♥ in India

About Us|Contact Us|Privacy Policy|Terms of Use|Careers|Disclaimer
help@medgloss.com|+91 98968 87732

© 2025 MedGloss. All rights reserved.

Question Image

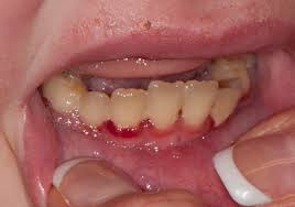
Identify the marked sign in a child presented with swelling of the wrist joint, perifollicular hemorrhages, ecchymosis around hair follicles, and bleeding gums.

What is the condition associated with small swellings on the chest in a 5-year-old child?

In newborns gestational age, would you recommend this as a method of primary feeding?

Question Image

What form of communication is used in this session?

What is the most effective wavelength of light used for phototherapy treatment?

Page 1 of 8