Diagnostic and Imaging Modalities for Evaluating Movement Disorders
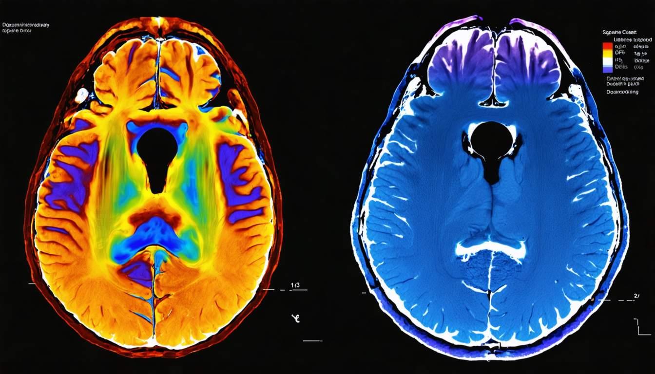
PET and SPECT Imaging in Assessing Dopaminergic Dysfunction in Movement Disorders
PET and SPECT imaging are essential modalities for diagnosing and evaluating movement disorders, particularly Parkinson’s disease.

Diagnostic and Imaging Modalities for Evaluating Movement Disorders
PET and SPECT Imaging in Assessing Dopaminergic Dysfunction in Movement Disorders
Positron Emission Tomography (PET) and Single Photon Emission Computed Tomography (SPECT) are valuable neuroimaging techniques used to assess dopaminergic dysfunction in movement disorders such as Parkinson’s disease. These modalities allow for detailed visualization of dopamine transporter (DAT) activity, helping clinicians differentiate between various movement disorders.
PET Imaging
PET imaging utilizes radiotracers such as fluorodopa (18F-DOPA) to evaluate presynaptic dopamine synthesis and dopamine receptor binding. This imaging method provides high sensitivity in detecting early Parkinsonian changes.
SPECT Imaging
SPECT imaging commonly employs radiotracers such as Ioflupane (123I-FP-CIT) to assess DAT activity. It aids in distinguishing essential tremor from Parkinsonian syndromes, making it a valuable diagnostic tool.
Clinical Applications
- Early detection of Parkinson’s disease
- Differentiation of atypical parkinsonism
- Monitoring disease progression and treatment response
Tags
Recommended Reads
Explore related articles that might interest you

Selection and Interpretation of Diagnostic Imaging for Movement Disorders

Radiological assessment of heart failure

Selection and Interpretation of Diagnostic Imaging for Movement Disorders

Benign and Malignant Bone Tumors

Indications and Interpretation of Plain Radiographs for Joint Evaluation

Evolution of Radiodiagnosis and Classification of Radiological Equipment

