Amyloidosis in Pathology Specimens
Histopathological Features of Amyloidosis
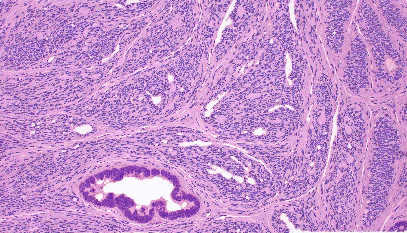
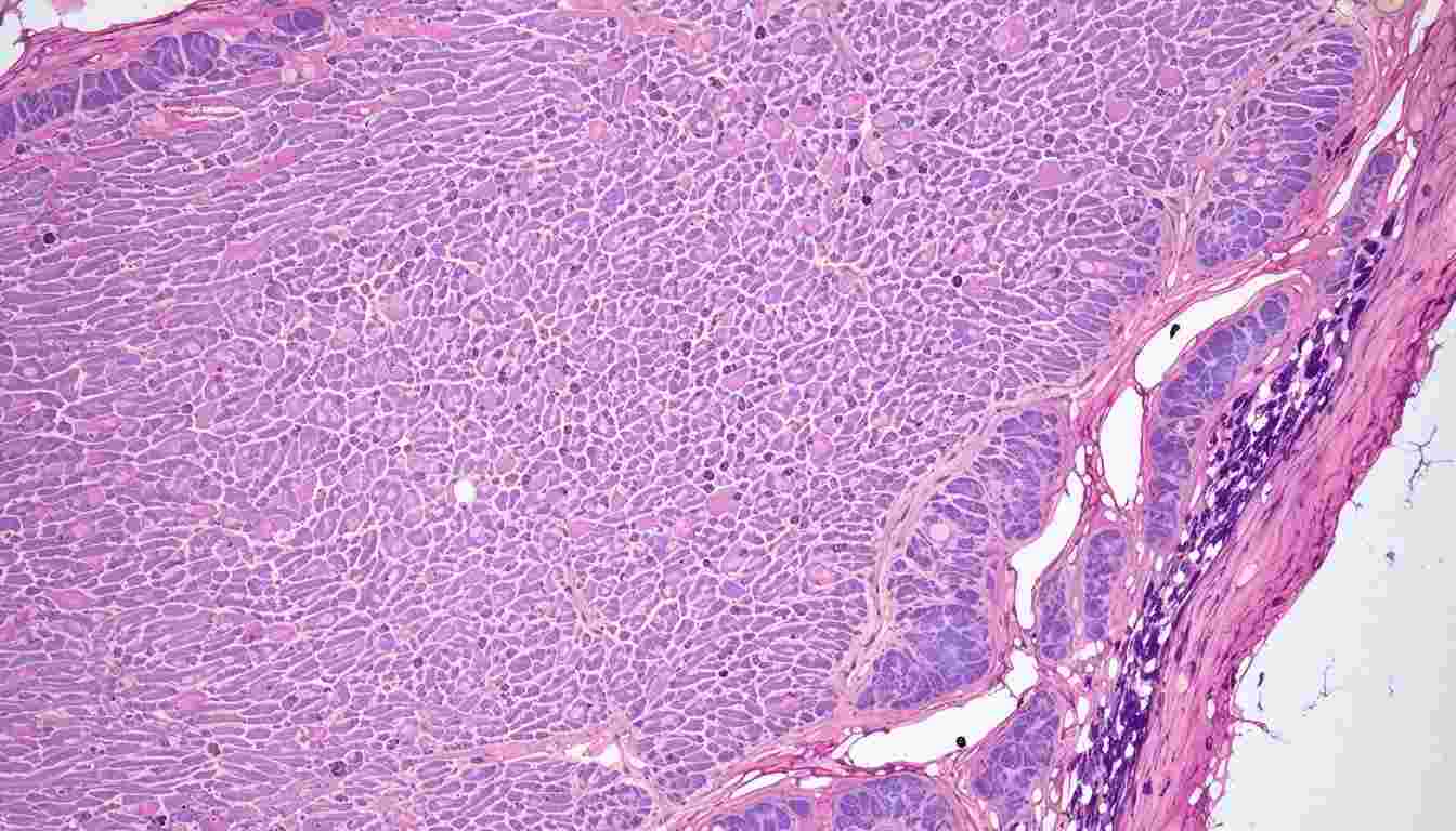
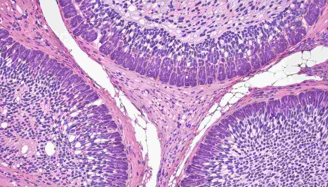
Amyloidosis is a pathological condition characterized by extracellular deposition of abnormal amyloid protein. Histopathological features include Congo red staining and apple-green birefringence under polarized light.
6/6/2025• 3 min read• 46 views
loved it
normalintermediatePathology

Amyloidosis in Pathology Specimens
Histopathological Features of Amyloidosis
Amyloidosis refers to a group of disorders characterized by extracellular deposition of abnormal amyloid protein. These proteins form beta-pleated sheets, leading to dysfunction in affected tissues.
Histopathological Characteristics
- Staining Techniques: Amyloid deposits exhibit apple-green birefringence under polarized light when stained with Congo red.
- Types of Amyloid: Different forms include AL (light chain), AA (reactive systemic), ATTR (transthyretin-related), and Aβ (associated with Alzheimer's disease).
- Organ Involvement: Commonly affected organs include kidneys, liver, heart, and nervous system.
Diagnostic Approaches
Histological examination using Congo red, electron microscopy, and immunohistochemistry can help confirm amyloidosis.
Treatment Considerations
Management depends on underlying cause and extent of organ involvement. Therapeutic approaches include chemotherapy, immunomodulatory treatments, and targeted therapy.
Tags
#Amyloidosis#Pathology#Histopathology#Congo red staining#Medical diagnosis
Recommended Reads
Explore related articles that might interest you

9
13%
Amyloidosis in Pathology Specimens
Read more →
9

17
13%
Amyloidosis in Pathology Specimens
Read more →
17

45
13%
Pathogenesis and Pathology of Amyloidosis
Read more →
45

49
13%
Pathological changes in various forms of liver disease
Read more →
49

21
13%
Pathogenesis and Pathology of Amyloidosis
Read more →
21

36
13%
Amyloidosis in Pathology Specimens
Read more →
36

31
12%
Lymphadenopathy
Read more →
31